That Dark Line at Your Gumline: What Is It and Should You Worry?
Share
Is it tartar, a cavity, or just a stain? Learn how to self-diagnose and why your brushing technique is the real culprit.
Finding a dark line along your gum tissue can be alarming. It’s a "check engine light" for your oral health, signaling that your current defense system is failing. But what exactly is it, and why does it keep coming back?
1. Self-Diagnosis: Is it "Dirty" or "Decayed"?
Before visiting the dentist, use these three simple tests to identify the black line:
-
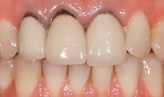
The Look (Pattern):
-
Tartar (Calculus): Usually looks like a continuous "necklace" following the curve of the gum line. It is most common on the inner side of lower front teeth.
-
Cavity (Decay): Often appears as irregular spots or a jagged line. It might be localized to one specific tooth rather than a whole row.
-
-
The Touch (Texture):
-
Tartar: Feels raised and rough. It’s like a hard crust "glued" onto the tooth surface.
-
Cavity: Feels pitted or soft. If a toothpick (used gently!) sinks into a small hole or gets "hooked," the enamel has likely softened into a cavity.
-
-
The Feel (Sensation):
-
Tartar: Usually painless but associated with bleeding gums and bad breath.
-
Cavity: Triggers sharp pain or sensitivity when eating cold, hot, or sweet foods.
-
2. The Truth: Why "Horizontal Scrubbing" Is the Culprit
You might brush twice a day, but if you brush horizontally (sawing back and forth), you are unknowingly creating a breeding ground for black lines.
The Physics of Failure: Because teeth are curved, horizontal bristles act like a tightrope stretched between two poles. They "jump over" the gingival sulcus—the tiny pocket where the tooth meets the gum.
-
Plaque Buildup: The missed plaque stays in this pocket.
-
Calcification: Within 24–48 hours, minerals in your saliva turn that plaque into hard tartar.
-
Discoloration: Over time, this tartar absorbs pigments from food or blood (from inflamed gums), turning into the stubborn black line you see.
Furthermore, aggressive horizontal scrubbing physically wears down the thin enamel at the gum line (known as Wedge-Shaped Defects), making it easier for black cavities to form in the grooves.
3. The Giggo Solution: Breaking the Cycle
Once a black line has hardened into tartar or a cavity, a dentist must remove it. But to stop it from returning, you must change the physics of your cleaning.
The Giggo Vertical Brush was engineered specifically to solve the "Horizontal Scrubbing" problem:
-
360° Vertical Sweep: Instead of skipping over the gaps, Giggo’s bristles rotate vertically—from the gums toward the crown. This mechanical sweep reaches deep into the gingival sulcus, clearing plaque before it can harden into black tartar.
-
Zero-Pressure Protection: By eliminating the "sawing" motion, Giggo stops the mechanical trauma that causes gum recession and wedge-shaped cavities.
-
Lingual Precision: Black tartar loves the hard-to-reach inner (lingual) surfaces. Giggo’s compact, round head fits these curves perfectly, leaving no room for plaque to hide.

Consultant’s Verdict
A black line is a sign that your current brush is missing the most critical part of your tooth. Don't just scrub harder—scrub smarter.
The Strategy: Get a professional cleaning to reset your "zero point," then switch to the Giggo 360° Vertical Sweep to ensure that black lines never have the chance to take root again.
Protect your foundation. Switch the trajectory. Shop the Giggo Bass Brush